
Astratto: In uno studio di alta qualità pubblicato a maggio 2025, un team di ricerca dal dipartimento di nutrizione presso l'università medica navale dell'esercito di liberazione popolare ha progettato un nuovo "sistema di screening"-utilizzando un modello di reporter di luciferasi per "monitorare" l'attività del miR-122, simile all'installazione di una "luce di segnalazione" per miR-122. Quando un composto migliora l'attività del miR-122, la "luce di segnalazione" si illumina. In seguito, hanno condotto uno screening ad alta produttività su larga scala di composti naturali al 2,543, cercando efficacemente i "partner ideali" per il miR-122.
Dopo uno screening rigoroso, il diidroberberina è nato come il autonomo tra composti naturali al 2,543: non solo uprevulati in modo significativo miR-122 livelli ma non presenta nessuna tossicità cellulare-a dimostrazione sia di efficacia che di sicurezza.
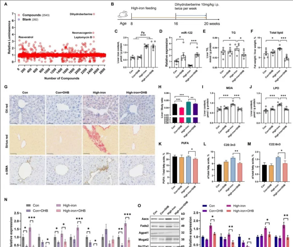
In un modello di topo indotto dalla dieta ad alto contenuto di ferro di MASLD (disfunzione vulcanica-malattia del fegato Steatotic collegata), diidroberberina ha dimostrato eccezionali effetti protettivi per il fegato:
Ripristina miR-122 livelli: reverse riduzione del miR-122 indotta da sovraccarico di ferro, riattivando efficacemente il "regolatore" del fegato.
Migliora il metabolismo dei lipidi: riduce i trigliceridi epatici e il contenuto di grasso totale, porta a un fegato visibilmente "cleaner" (evidenziato dall'olio rosso O colorazione).
Previene i danni ossidativi: riduce i livelli di marcatori di perossidazione dei lipidi (es.
Mitifoni lesioni al fegato e redusia: riduce in modo significativo ALT e AST (pennarelli per lesioni al fegato chiave) e allevia la crescita della fibrosi epatica.

Figura D: miR-122 regolazione-il sovraccarico di ferro ha portato un forte declino nell'espressione del miR-122, mentre il trattamento DHB lo ha riparato a livelli quasi normali.
Figure E-H: miglioramento del metabolismo dei lipidi-trigliceride epatico indotto da sovraccarico di ferro e accumulo di lipidi totali, che sono stati ridotti dopo la somministrazione di DHB.
Figure I-J: riduzione dei danni ossidativi-sovraccarico di ferro prodotti ossidativi migliorati (MDA, LPO, ecc.), mentre il trattamento DHB riduce in modo significativo questi pennarelli.
Figure K-M: ripristino dell'equilibrio degli acidi grassi-trattamento DHB disregolazione indotta da sovraccarico di ferro invertito degli acidi grassi policristallini e rapporti di acidi grassi benefici stabilizzati.
Figure N-O: la regolazione delle proteine-il sovraccarico di ferro ha interrotto l'espressione delle proteine legate alla lipocesis, che è stata normalizzata dall'intervento DHB.
Tra 2,543 composti vagliati, diidroberberina (DHB) si sono evidenziati non per caso, ma dimostrando sia la migliore idropulitrice del miR-122 che la perfetta biocompatibilità cellulare-un fondotinta critico per la traduzione clinica.
Il sovraccarico di ferro danneggia il fegato attraverso una cascata definita:
Sovraccarico di ferro 130 miR-122 crash 130 proteine lipogeniche dysregolate 130 accumulo di lipidi stress ossidativo curcuma malattia del fegato.
DHB interrupts questo ciclo feroce di:
Integrazione DHB 130/miR-122 recovery 130 proteine lipogeniche repoded tap riduzione della deposizione lipidica riduzione del danno ossidativo (epatico "cooling down").
Lo studio mostra in modo definitivo che DHB:
Uprevabates miR-122 per silenziare i geni nocivi (es.
Rompere in modo sostanziale il ciclo di feedback "sovraccarico di ferro!
Offre una doppia azione-regolazione del metabolismo e hepatoprotection-per le persone che vivono in sovraccarico di ferro e MASLD
Da elucidating come il ferro e il miR-122 danneggiano in modo sinergico il fegato, per identificare DHB attraverso lo sc sistemicoReening, questa ricerca illumina una promettente via terapeutica per l'intervento MASLD.
Riferimento:
Yuxiao Tang 1, Zelong Gao et al. Rompere la sinergia del sovraccarico di ferro e il miR-122 per salvare l'accumulo di lipidi e la perossidazione in MASLD. Pharmacol Res. 2025 maggio: 215:107728.